A Small Touch. A Big Transformation. 

Just two veneers and professional teeth whitening—that’s all it took to create a naturally stunning smile.

 
Why Choose Dr. Yarub Group?

Expert cosmetic dentistry trusted for:

✔️ Precision & minimally invasive care
✔️ Natural, long-lasting results
✔️ Personalized smile makeovers
✔️ Advanced technology & materials

Designed for Confidence

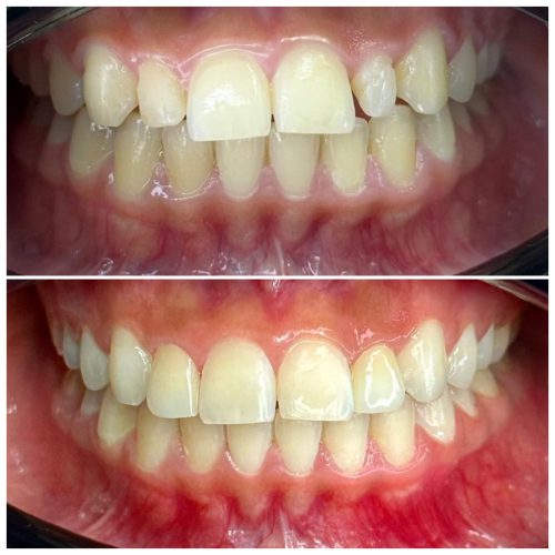
This patient came to us looking for a more balanced, brighter smile—without overdoing it.

 

With just 4 custom porcelain veneers, a precise gingivectomy (gum contouring), and professional teeth whitening, we achieved a transformation that looks completely natural, yet dramatically enhanced.

 

The result? A harmonious smile that complements the patient’s facial features and radiates confidence.

 

Treatment Details:

 

✔️ 4 Porcelain Veneers (Handcrafted for shape and symmetry)

✔️ Gingivectomy (For ideal gum proportions and smile line)

✔️ In-office Teeth Whitening (For a bright, even tone)

 

Why Choose Dr. Yarub Group?

At Dr. Yarub Group, we take pride in creating smiles that are not only beautiful but biologically balanced and long-lasting. Our cosmetic dentistry approach combines:

 

🔬 Precision & advanced digital planning

🎨 Natural aesthetic artistry

💎 High-quality materials

🦷 Patient-centered, minimally invasive techniques

 

One treatment plan. One confident smile.

Book an Appointment (Bella Dent Dental Center)